牙齒因蛀牙或牙周病破壞而搖搖欲墜或已掉牙,如何與醫師討論、評估該使用「固定式假牙、活動式假牙」或「植牙」?
大林慈濟醫院口腔醫學部梁宏達醫師表示,缺牙的處理方式有固定式牙橋、活動假牙及植牙三種,無論採取哪一種治療都有優缺點,必須先做評估。
曾任台灣牙醫植體醫學會第十五屆總會理事長,現為該會顧問的柏登牙醫診所黃斌洋院長進行治療前喜歡與患者聊天,讓患者了解「從來就沒有最好的治療,只有相對適合病人的治療」,期待醫病之間取得互信基礎,讓病人充分了解治療的優缺點、風險、全身條件、經濟考量及本身照護之責,討論出最適合的治療選項,再共同執行治療計畫。
無論是缺牙單顆、連續二顆、三顆以上或全口少牙、無牙,補牙前應先了解常見三種缺牙治療的技術及流程,以利選擇。
1.固定牙橋
◆適用條件:單顆或少數顆牙齒牙根已損壞,但缺牙處兩側牙仍健康。
◆作法:若缺牙一顆,卻沒有牙根將假牙固定於牙齦上,此法會將兩側健康牙當樑柱,中間架起一顆假牙,利用搭橋的做法分擔缺牙處假牙的受力。因此補一顆牙,必須修磨前後兩顆牙,以便支撐長達3顆牙的牙橋。
梁宏達醫師表示,固定牙橋不需手術,但要先評估再修磨缺牙處兩側的健康牙齒,接著製作相連的牙橋。當牙橋固定後,就能將缺牙處的咬合力分散至齒槽骨。
◆療程:從評估、修磨、製作到配戴約一個月。
◆裝牙橋5步驟
①術前評估:牙醫師會先檢查口腔,使用X光攝影評估患者牙根受損的狀況,以及前後牙是否符合製作牙橋的條件。
②修磨前後牙:為爭取足夠空間置放牙橋,牙醫會修磨缺牙處前後兩側的健康牙做為牙橋橋墩,過程中會局部麻醉,以減少不適。
③印模、裝置臨時牙橋:利用3D口內數位掃描機或傳統印模方式取牙齒模型,送到專業贗復場所製作牙橋。等待期間,牙醫師會先替病人安置臨時牙橋。
④調整試戴正式牙橋:牙橋製作完成後需先試戴,牙醫師會仔細檢查牙橋密合度、咬合力和美觀是否符合需求,微調後讓患者先試戴兩至三周適應。
⑤固定正式牙橋:醫師針對患者的回饋做最後的調整,確實符合時,就會使用專用黏合劑將牙橋固定在支撐的牙齒上。(延伸閱讀:預防牙齒長白斑,遠離脫鈣5招式)
維護牙橋這樣做
黃斌洋院長指出,牙橋底部的邊緣為狹長形,食物、殘渣易卡在細微縫隙處,若不注意清潔,長時間累積可能讓做牙橋的3顆牙齒都蛀光,甚至出現牙周病,讓整排牙都搖晃不保,建議清潔一定要到位。(延伸閱讀:不到30歲就有牙周病?小心侵犯型牙周病)
①每天三餐飯後及睡前使用牙刷清潔,還需搭配使用牙線穿引器、牙間刷或沖牙機等輔助工具增加清潔強度。
②除了清潔牙齒表層外,更不能忘記牙橋下方和牙齒接縫處的清潔。
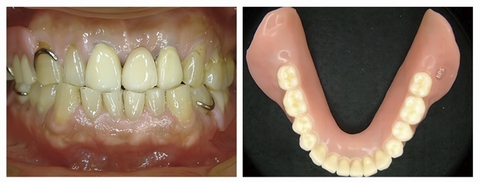
2.活動式假牙
◆適用條件:缺牙區範圍較大,不想動手術植入人工牙根,又有預算考量的病況。
◆作法:活動式假牙有分全口式活動假牙及局部式活動假牙兩種,黃斌洋院長表示,是用金屬扣、鈎子或磁鐵鈎在健康牙齒上的補牙治療,可自行取下,不會過度修磨旁邊的牙齒,也不需要開刀。製作活動式假牙的牙材有三類,支架類多為合金材質,牙肉類多為壓克力樹脂,牙冠是複合樹脂壓鑄。
◆療程:從評估、製作到配戴約4~6週,若患者須拔牙、等待傷口癒合,療程會依病況而延長。
活動式假牙樣貌

活動式假牙是用金屬扣鈎在健康牙齒上。(圖/柏登牙醫診所黃斌洋院長提供)
◆裝活動假牙5步驟
①初步評估及印模:醫師會檢查患者全口口腔狀況,包含蛀牙、牙周病、齒槽骨萎縮的狀況、拔牙後傷口癒合程度等,並需瞭解是否有慢性病或服用藥物,確定可採活動假牙補牙,就會印出粗略的牙齒模型,以分析牙齒、牙床結構及範圍,以利後續製作精細的模型。
②製作精密模型:全口假牙的作用力是靠軟組織的力量形成,患者需配合醫師做各種口腔運動,讓醫師取得口腔咀嚼時的軟組織狀況,再精準印出假牙模型,需耗費較長時間。
③製作咬合蠟堤模型:目的是取得假牙的垂直高度及密合度,以利提高活動式假牙的密合度及咬合程度。
④試戴假牙:活動式假牙製作完成後,會先試戴。醫師會教導如何裝置及配戴,患者必須實戴及提出反饋意見讓醫師調整。試戴確定後即可取走假牙正式配戴,並重建口腔咀嚼功能。
⑤後續回診調整:裝上活動假牙後,若有任何問題要及時回診,請牙醫師檢查及調整。
維護活動式假牙這樣做
活動假牙畢竟不是天然牙,因可隨時取下,黃斌洋院長比喻,就像在沙灘上穿夾腳拖,不牢靠,腳底易夾帶很多沙子,好好清潔相當重要,才能避免釀成口腔易破、潰瘍等問題。(延伸閱讀:「牙齦出血」要不要就醫?)
活動假牙可用專用牙刷及超音波清洗機清潔,梁宏達醫師表示,無論哪一種方式,皆需遵照醫囑及假牙材質挑選最適合的清潔方式,才能維持假牙品質,也不易出現口腔問題。
①食物殘渣易卡在活動假牙和自然牙中間的空隙,以致牙齦發炎、疼痛,用餐後一定要取下清潔,不要覺得麻煩而帶著假牙刷牙,以免衍生蛀牙或牙周病。
②每餐飯後需取下假牙清洗,可挑選軟毛牙刷或假牙專用刷,沾少量清水或使用食品級中性洗潔劑,以稀釋數倍方式來刷洗,並用大量清水或溫水沖淨。此外,也可使用假牙清潔劑清洗,先浸泡5分鐘,分解附著在假牙上的牙菌斑,再用水清洗,最後以牙刷簡單刷洗後再配戴。
③使用超音波清洗機清潔假牙,可搭配專屬假牙清潔液(錠)一起使用,增強清潔能力。不過每個人體質不同,使用假牙清潔液(錠)清洗後,若配戴時口角、口腔黏膜感到不適,甚至有過敏症狀,請停止使用,並諮詢口腔醫師建議。
④不要使用酒精、高濃度鹽水、醋、熱水、漱口水清潔或浸泡假牙,以免造成假牙受損、變形、變色,無法配戴。
⑤未配戴活動假牙時,可將假牙收納於承裝涼開水的假牙專用盒,或以濕紗布、紙巾墊於假牙底下,讓假牙保持濕潤,避免假牙乾燥變形。
⑥不建議使用含有研磨劑的牙膏來刷洗,恐磨損假牙表層,易孳生細菌。
⑦睡前取出假牙,不要戴著假牙睡覺,避免假牙與牙齦摩擦機率,降低感染風險。根據國際假牙照顧指引,戴著清潔不良的活動假牙睡覺會增加吸入性肺炎的風險,發生風險是一般人的2.3倍。(延伸閱讀:國人65歲後只剩18顆牙 不想掉牙該知道的7件事)
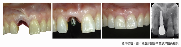
3.植牙
◆適用條件:單顆、多顆牙齒缺損,甚至全口無牙的患者。
◆作法:黃斌洋院長表示,植牙是一種侵入性治療,能重建牙根及牙冠。在齒槽骨內安置一個替代的牙根(植體),等待植體與周圍齒槽骨緊密結合後,再製作牙冠,將假牙建立在人工牙根上方,就能有全新的牙齒,但植牙並非人人適合,術前必須做完整的評估。
◆療程:從評估、進行人工植體手術,到安裝正式假牙,整個療程約4~12個月,若要補骨或治療牙周病,甚至會延長至24個月。
植牙樣貌

◆植牙8步驟
①術前診斷、評估及檢查:專業的牙醫師會先檢查患者口腔現狀,判斷是否可植牙。若有心血管疾病、骨質疏鬆、腎臟病等植牙風險,需經醫師評估後方能進行。確定身體可接受植牙後,會使用包含X光片、3D口內數位掃描機、3D電腦斷層等精密儀器檢查,確認牙齒現狀、牙齒強度、齒槽骨狀態,做好周全準備。
②術前補骨治療:若有齒槽骨萎縮、牙周病、蛀牙等病況,需先治療好才能植牙。若齒槽骨萎縮,需額外進行補骨粉、上骨膜等治療,增加骨質強度、提高齒槽骨穩固度。若有蛀 牙、牙周病,都需先治療好,才能為植牙打好地基,提高植牙穩定性及成功率。
③進行人工植體(牙根)手術:手術前,醫師會使用電腦斷層充分了解齒槽骨結構,讓人工牙根避開神經與血管。植體手術是利用手術刀或水雷射將齒槽骨組織及骨膜切開,並在植牙區域鑽洞後將植體鎖入齒槽骨,最後再將傷口縫合。傳統植入人工牙根手術需花費30~60分鐘,微創植牙可縮短15~30分鐘,採局部麻醉,也可選擇舒眠植牙方式,睡一覺後已植好牙根。
④ 等待骨整合:術後需有等待人工牙根和齒槽骨穩定結合的時間,也就是骨整合。骨整合所 需時間會依個人原始骨質狀況有差異。除非原始骨質就非常堅硬,否則一般建議至少等待3個月以上較安全。牙齒能夠正常受力後,才能安裝人工牙冠。
⑤安裝臨時假牙:待骨質穩定且牙齦成形後,牙醫師會安裝臨時假牙,目的是幫助牙肉塑型,有正確的生長弧度,確保後續生長位置正確,並讓患者提早適應日後的咬合。
⑥挑選牙冠材質:手術後2~4週後,需依照硬度與人體相容性機能挑選人工牙冠,有金屬牙冠、金屬外包陶瓷、全瓷冠等材質,可依照硬度、人體相容性、美觀度與價格進行挑選。
⑦安裝正式假牙:完成以上步驟後,需印牙模,交由專業牙技師製作正式假牙冠,等待人工牙根完成骨整合後,醫師就會在穩固地基上安裝正式假牙。
⑧定期回診追蹤:植牙療程結束後需定期回診,通常每3個月回診一次,以確保口腔健康及延長假牙使用壽命。
維護植牙健康這樣做
不管是裝假牙或植牙,都要注意飲食,避免食用過硬或黏性高的食物,以免受力太大引起假牙或植牙搖動。
梁宏達醫師表示,要提升植牙的壽命,定期清理牙齦邊緣和植牙間的牙菌斑、牙結石相當重要,每天餐後需用專門為植牙設計的軟式牙刷和牙線清潔,可避免牙齦疾病發生。需定期回診,並攝取充足維他命C、D,促進牙齦健康和骨質強壯,有助植牙穩定。(延伸閱讀:夜用牙膏、漱口水、噴劑能除口臭、長效維持好口氣嗎?)
感謝柏登牙醫診所黃斌洋院長提供報導配圖



