新冠肺炎疫情在世界各地襲捲蔓延,大家關注的問題不外乎是如何保護自己遠離病毒,以及「聽說得了新冠肺炎,之後容易肺纖維化,終生呼吸困難?」本刊專訪振興醫院內科部陶啟偉主任,為民眾解惑。
Q1. 什麼是「肺纖維化」?
認識肺部纖維化會造成何種傷害之前,要先理解肺部的構造跟功能。呼吸時,空氣會由鼻腔吸入,先經過氣管,然後分流進入支氣管,再來是更細的細支氣管,最後來到氣管末梢的肺泡,在肺泡間進行氧氣與二氧化碳的交換。
肺泡與肺泡間的間隔組織中充滿著彈性纖維,讓肺部得已膨脹與收縮,促進肺泡壁上的氣體交換。當這些組織發生病變,纖維會失去彈性,造成肺部擴張困難,氧氣交換不易進行,導致呼吸困難,容易喘氣、咳嗽、倦怠,繼而面色發紺(紫)、產生杵狀指(手指形狀變得像杵或棒槌) 等。
Q2. 肺纖維化的分類?
根據美國肺臟協會(ALA),肺纖維化分為以下幾種
疾病造成的肺纖維化
如感染SARS、新冠病毒、CMV病毒等,可能在病程中造成肺纖維化。
特發性肺纖維化(IPF)
危險因子包括抽菸、環境或空氣污染、胃食道逆流等。
存在家族史的肺纖維化
非常罕見,目前仍未知是由哪些基因調控。
Q3. 疾病造成的肺纖維化,與菸害、空污造成的肺纖維化,有何差異?
陶啟偉主任表示,因病因不同,肺纖維化的狀態也不同。因抽菸、環境或空氣污染等造成的「特發性肺纖維化(IPF,俗稱菜瓜布肺)」,病程緩慢漸進,其對肺部的傷害是不可逆的;但「感染病毒造成的肺纖維化」,傷害大多可逆,及時治療能夠逐漸修復,大部分的病人肺功能也能恢復到能夠自理的程度。
學術期刊《Nature》曾發表一篇追蹤15年的SARS病患肺部預後狀況,SARS誘發的肺部病變,在病程一年內妥善治療,可大幅度地康復。約7~8%的SARS病人出現肺纖維化後,經過治療,其肺活量逐漸改善,宛如受損的皮膚結疤後,緩慢復原回到正常狀態。
新冠疫情是否會造成永久的肺部損傷?儘管新冠肺炎與SARS發生的背景、醫療方針、病毒皆不同,且全球仍有許多新冠肺炎病例在治療中,還無法下定論,但陶啟偉主任認為,仍可抱持較樂觀的態度,即便遭受感染,也無須恐慌。
Q4. 是否可輕易察覺肺損傷?
肺功能可以訓練的幅度很大,日常活動使用到的可能只有20~30%的肺功能。所以,當肺部開始輕微損傷時,不容易發現;當影響到日常生活時,往往已造成一定程度的損傷。
有些新冠肺炎病例X光檢查發現「肺浸潤」,但患者無呼吸道症狀,所以尚未察覺。「肺浸潤」指的是X光片上,肺部呈現塊狀或條狀的白色陰影,陰影可能是蓄積的黏液、膿液或蛋白質。除了病毒與細菌性感染,癌症、肺結核患者身上,皆可能檢查出肺浸潤的發炎情形。
Q5. 新冠肺炎重症比例為何?肺纖維化的比例多嗎?
WHO指出,目前新冠肺炎的常見症狀為發燒、倦怠感、乾咳。而其他可能出現的症狀有味嗅覺喪失、呼吸急促、肌肉痠痛、喉嚨痛、腹瀉與噁心。近期也有病例出現皮膚表徵,如腳指出現水泡或紅紫色的病變等。
中央流行疫情指揮中心召集人張上淳教授,在4/25的嚴重特殊傳染性肺炎記者會上表示,目前台灣累計確診429人,感染源男女約各半,年齡中位數為32歲,60歲以上占13.6%。依WHO嚴重度分類,目前無併發症的輕症占69.6%,肺炎占22.2%,嚴重肺炎或呼吸窘迫症候群占8.2%,死亡率為1.4%。有24人(5%)曾使用呼吸器,有9例仍在使用。死亡者為6人,占使用呼吸器者的25%。
陶啟偉主任表示,新冠肺炎肺纖維化的比例,目前觀察沒有SARS多,但全球目前尚未完全走完整個病程,確切數據仍需疫情走完後,回溯來看較有參考價值。以目前中國內地的報告,新冠肺炎變成重症或病危的比例,大約15~18%,而這些病人較可能產生肺纖維化的狀況。其餘8成以上的患者,原則上不會產生肺纖維化。
目前各國整體死亡率仍受當地的醫療資源、患病年齡層、是否同時有其他疾病併發症等諸多變因影響。其實,現今較常見的死因為「過多的黏液阻塞呼吸道」,而非肺纖維化。中國大陸傳染病防治學者鐘南山日前指出,曾經解剖一名武漢肺炎死者,肺部看到大量黏液。當肺部細胞受損,組織液夾帶著免疫細胞與死亡的微生物大量滲出。如果胸腔整個充滿黏液,就像把人放到水中一樣,肺部得不到氧氣,細胞會開始衰竭,連帶引發多重器官衰竭,最後導致死亡。
Q6. 哪些特定族群,較易感染新冠肺炎後變重症?
臨床觀察顯示,感染新冠肺炎者,年紀較輕的通常共病較少,肺功能跟體能較佳。若病程演進至呼吸衰竭,進入需使用呼吸器的階段,年輕人的心臟功能及對低血氧的耐受性通常較好,也許可以逐漸改善病況,順利存活。
而年長者若有共病,如高血壓、肥胖、高齡、糖尿病、患有COPD(肺阻塞)、心臟疾病者,死亡率較高。尤其低血氧後,若出現其他併發症,如心律不整、心肌炎、心肌梗塞等,相對而言較不利。
至於吸菸者的重症死亡率高出一般人約4~6倍,可能原因是吸菸者體內與新冠病毒結合的ACE2接受器數量較非吸菸者高。當肺泡表現ACE2接受器濃度增高時,病毒可以結合侵入的就越多,肺部細胞更容易大面積的受損。
面對新冠肺炎莫恐慌
信任醫療專業,做好防護最重要
針對新冠肺炎的病程發展、治療與用藥,目前皆因疫情尚未結束,數據還不足以回溯而下結論。此時,應該尊重與信任第一線醫療人員的判斷,如藥物的使用,皆須考量個別狀態,若私自囤藥或服藥,將對健康造成更大的危害。
陶啟偉主任叮嚀,防範新冠疫情,要少出入人口密集場所、少觸碰不必要的東西,時時勤洗手,正確配戴口罩,也別忽略脫下口罩或護目鏡時的正確步驟。努力把關所有防護細節,才能平安渡過疫情。

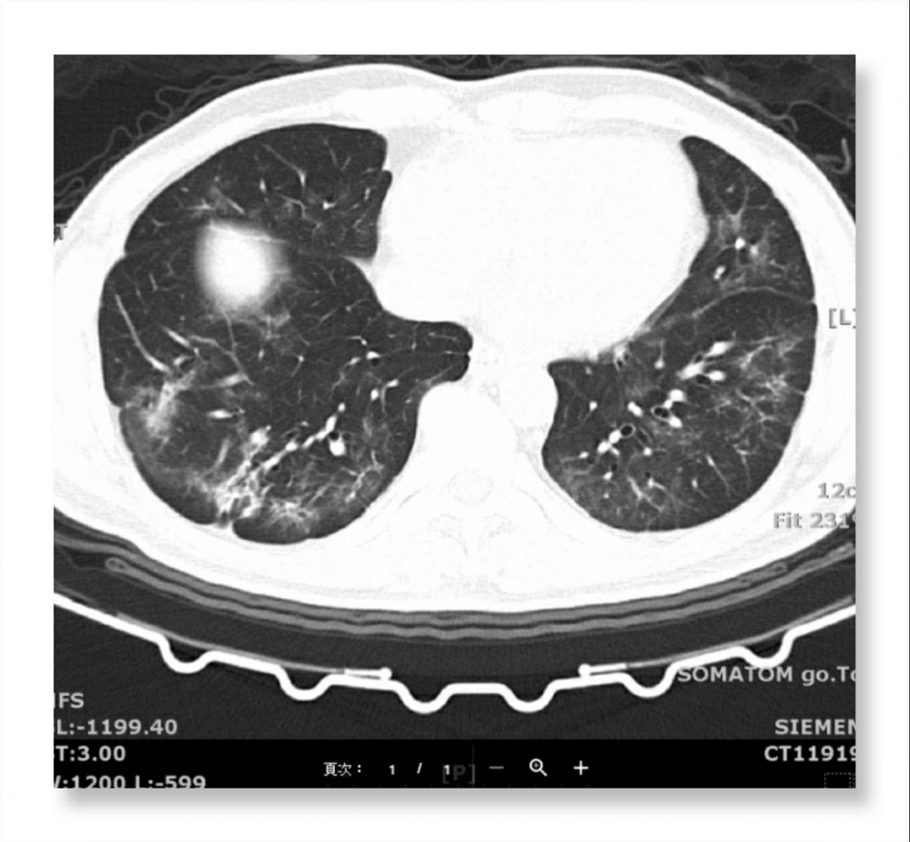
一位新冠肺炎患者經過了三周多的治療,在三次檢測轉陰後,電腦斷層仍顯示右下肺葉(圖的左邊下方)出現纖維化,兩側肺葉出現毛玻璃狀浸潤。(圖片提供/振興醫院內科部陶啟偉主任)
.jpg)